Pinonier in der skelettalen Verankerung
Prüfe jetzt die Erweiterung deines Angebots-Portfolios
Spider Screw ist ein nicht osseintegrierbares Produkt, das eine unmittelbar belastbare Verankerung bietet und so die Behandlungsdauer verringert.
Die andwendbaren Kräfte reichen je nach Knochenqualität und angestrebter, kieferorthopädischer Behandlung von 50 bis 300 Gramm. Sie lässt sich leicht in den unterschiedlichsten, anatomischen Lagen in Ober- und Unterkiefer einsetzen, selbst wenn die verfügbare Knochenstärke sehr begrenzt ist.
Das selbstscheidende Gewinde der Schraube wurde speziell für die Anwendung der Spider Screw ohne Bohren entwickelt.
Ab sofort findest du das gesamte HDC Spider Screw Sortiment in unserem Shop:
Zum HDC-Komplett-Sortiment Katalog als PDF herunterladen
Du hast Fragen zum Spider Screw-System?
Kontakt zu unserem Service-Team Zum Kurs an der SCHEU Academy
HDC live vor Ort - ein Rückblick
Mitte Mai hatten wir das Vergnügen, einen Kurs unter der Leitung von unseren Referenten Dr. Björn Ludwig und Dr. Giuliano Maino zu präsentieren.
Klicke jetzt auf die Video-Vorschau für einen kurzen Rückblick. Für weitere Infos für den im März anstehenden Kurs klicke hier.
erhältlich in verschiedenen Ausführungen
Für jeden individuellen Fall die passende Lösung
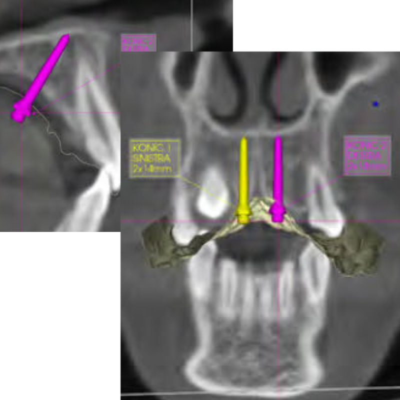
Die Spider Screw RP Konic ist speziell für die kieferorthopädische skelettale Verankerung im Gaumendach ausgelegt.
Die zylindrisch-konische Form und ideale Höhe des kieferorthopädischen Kopfs gewährleisten eine geeignete Auflagefläche für laterale Belastungen und erleichtern das Einsetzen von angepassten Produkten insbesondere im Falle von Disparallelität.
Der transmukosale Teil ist glatt und konisch, um optimale Schleimhauthaftung zu gewährleisten und Gewebeirritation zu vermeiden.
Am Kopf der Spider Screw können zusätzliche Produkte befestigt werden. Sie ist in zahlreichen Größen erhältlich, um jeder Planung gerecht zu werden.
Weitere Informationen findest du auch in unserem Katalog:
Digital Planing Research Institute
Individuelle Anfertigungen
Als einen ganz besonderen Service bietet HDC Unterstützung in Form von geplante Bohrschablonen, Modellen und individuell hergestellter Apparaturen (Laser-Sinter-Verfahren) über das DPRI CAD/CAM Portal.
Über dieses Portal kann zudem direkt mit den Experten ein Austausch stattfinden
(z.B. Planungsfragen klären) und später auf die entsprechenden Daten jederzeit zugegriffen werden.
Hierzu ist eine Registrierung im DPRI Portal erforderlich. Die Berechnung
der Serviceleistung erfolgt über SMILE-Dental siehe Info zum Download.
Zum DPRI CAD/CAM Portal Info / Anleitung als PDF herunterladen
Für jeden individuellen Fall
Konic Tool Kit
Das Konic Tool Kit ist ein spezielles Kit mit den Instrumenten für das Einsetzen der Spider Screw K1 – K2 – Z – Regular Plus, des Pin und der Spider Screw Konic.
Die drei Systeme sind anhand der verschiedenen Farben der Tüllen identifizierbar.
Zum Konic Tool Kit Zum Spider Screw Zubehör
Das skelettale Verankerungssystem
System für die kieferorthopädische Verankerung
Spider Link ist ein skelettales Verankerungssystem, das aus Spider Screw Self Ligating Minischrauben und einer vorgeformten Power Plate aus Edelstahl besteht.
Durch die kombinierte Verwendung von selbstligierenden Minischrauben mit einer kieferorthopädischen Verankerungsbefestigung (Power Plates) kann der entsprechende Zahn höheren Kräften standhalten.
Digitale Planung und das geführte Einsetzen der Minischrauben werden empfohlen.
verkürzt die Behandlungsdauer
System für die simultane Distalisierung der oberen Molaren
Sumodis ist ein System für die simultane Distalisierung der oberen Molaren bei Vorhandensein der zweiten Molaren in einer nicht-extrahierenden Klasse-II-Behandlung ohne Kooperation.
Das System ist eine Kombination von Gleitmechanismen, die Spider Screw für die Verankerung verwendet. Das System distalisiert die Molaren unabhängig und gleichzeitig, vermeidet so ein Kippen und verkürzt die Behandlungsdauer.
Sumodis besteht aus zwei simultan arbeitenden Distalisierungskomponenten: Eine ist aktiv gegen den ersten Molar und eine gegen den Zweiten.
Weitere Informationen findest du in unserem Katalog:
Auch speziell für das CAD-CAM-Verfahren
Spider Expander
Zur Vervollständigung des Produktsortiments hat HDC eine Reihe spezieller Gaumenexpander zur Verwendung mit der Spider Screw Regular Plus Konic entwickelt.
Der Spider Expander ist aus medizinischem Edelstahl gefertigt und besitzt 2 oder 4 Retentionsarme, die an die Anatomie des Patienten angepasst werden können. Die durch die Geometrie des Expansionsmechanismus bedingte höhere mechanische Festigkeit ermöglicht selbst bei erwachsenen Patienten den Einsatz der hohen Kräfte, die bei Behandlungen zur Gaumennahterweiterung erforderlich sind.
Der Spider Expander Digital ist speziell für das CAD-CAM-Verfahren entwickelt worden und ermöglicht durch zwei Längsschlitze das Schweißen digital erstellter und gesinterter Strukturen.

HDC-Katalog als PDF-Download
In unserem digitalen Katalog haben wir alle Spider Screw-Artikel - mit umfangreichen Informationen gespickt - für dich zusammengetragen. Blättere digital durch oder hole dir dein Printexemplar in die Praxis.

Beratungsanfrage stellen
Für dich ist das Thema der skelettalen Verankerungsysteme neu? Du bist dir nicht sicher, ob dieses Thema auch in deine Praxis passt? Unser Service-Team freut sich, dich genau zu diesem Thema weiter beraten zu dürfen.
für unsere Spider Screw Produkte
zu den Spider Screw Produkten?
Zögere nicht, uns zu kontaktieren. Felix Lochmann und Anja Ressel stehen dir bei allen Anliegen zu den Spider Screws und Verankerungssystemen zur Verfügung:
Verkauf und Beratung:
Mo. - Do.: 08:00 - 16:30 und Fr.: 08:00 - 14:00 Uhr
Felix Lochmann
Tel.: +49 (0) 171 / 416 77 57
Mail: felix.lochmann@smile-dental.de
Anja Reßel
Tel.: +49 (0) 2102 / 15 467 - 21
Mail: anja.ressel@smile-dental.de
Alternativ kannst du auch unser Online-Formular nutzen, um direkt ein Angebot anzufordern oder eine Beratung zu vereinbaren.